ポリリン酸ホワイトニング
歯を傷めずに、漂白できます。
痛みもなく、自然な明るさに
歯の表面も強化され、透明感も失われません。
是非、試してみてください。
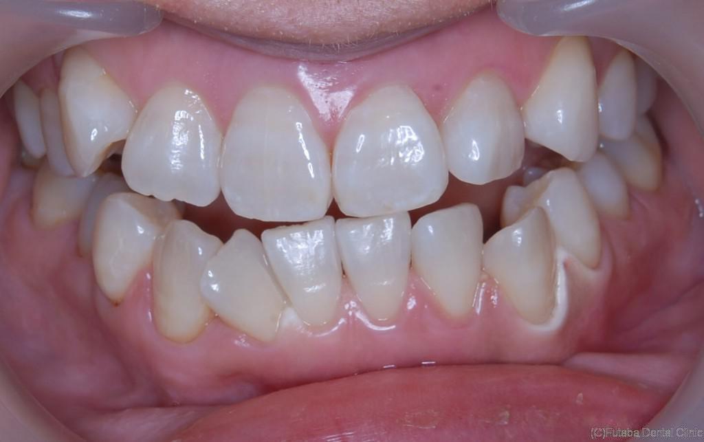
術後
痛みもなく、自然な明るさに
歯の表面も強化され、透明感も失われません。
是非、試してみてください。
術前

術後

投稿日:2015年7月17日 カテゴリー:ホワイトニング
tel 048-663-3292
WEB予約


投稿日:2015年7月17日 カテゴリー:ホワイトニング