これでいいの?治療後痛みが取れない…
通常は、一時的な痛みです。
根の治療などを始めた場合など、金属を付けた後などに
起こりますが、
今回のようなケースは明らかに、問題のあるケースです。
痛みが出ても当たり前なのに、そのまま、治療を進めてしまう。
痛みの原因を明らかにし、それが、一時的なものなのかどうかの
判断はとても重要です。
[speech_bubble type=”drop” subtype=”L1″ icon=”lady-pain1.png” name=”Dr さん”] 「他の歯科医院で、治療してからずっと痛みが取れないです」 [/speech_bubble]
[speech_bubble type=”drop” subtype=”R1″ icon=”DA3.png” name=”B さん”] どこが痛いんですか?[/speech_bubble]
[speech_bubble type=”drop” subtype=”L1″ icon=”lady-pain1.png” name=”Dr さん”] 顎まで、痛かったんですが、大丈夫だからって、プッチって詰められてしまったんです。 [/speech_bubble]
[speech_bubble type=”drop” subtype=”R1″ icon=”DA3.png” name=”B さん”] え~(T_T)/~~~[/speech_bubble]
先日、「顎まで痛いんです」と、来院された方ですが、
顎まで痛むんですと、他医院に通院していたそうです。
しかし、痛みが取れることもないまま、保険外の詰め物を
大丈夫だから、詰め物もできているからと
ポンっとつけられてしまったそうです。
その後も、痛みがとれず、困った為
当院を、来院されました。
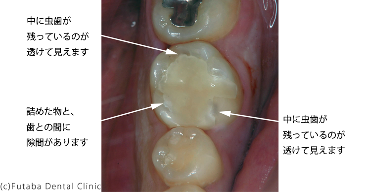
お口の中の状況ですが、
詰め物は、全く適合していない
中に虫歯がまだ透けて見える状態でした。
そこで、レントゲンにて確認すると
詰め物のしたに、薬がひいてあるのですが、
その下にも、まだ虫歯が残っているようです
また、根の先にも、炎症が起こっているようです。
困ったことに、手前のは、誤って削られてしまっています。
しかも、詰め物を接着する為の接着剤が
歯と歯の間に詰まったまま残っています
(このままでは、歯肉が炎症を起こし、最悪、骨まで溶かしてしまいます。)
残念ですが、神経を取る事になってしまいました。
[speech_bubble type=”drop” subtype=”L1″ icon=”lady-smile.png” name=”患者さん”] 「治療してからは、全く痛みがなくなりました。」 [/speech_bubble]
[speech_bubble type=”drop” subtype=”R1″ icon=”Dr2.png” name=”Dr さん”] よかったです[/speech_bubble]
[speech_bubble type=”drop” subtype=”L1″ icon=”lady-smile.png” name=”患者さん”] 「顎の痛みもなくなったんです。こんな事になる前に来ればよかったんですよね。」 [/speech_bubble]
[speech_bubble type=”drop” subtype=”R1″ icon=”Dr4.png” name=”Dr さん”] そうですね。[/speech_bubble]
みなさんも、何か変だと思ったら、一度いらしてみてください。
何か、重大な事になる前に、是非、いらしてください。
大切な、神経、歯を抜く事になるまえに…
投稿日:2015年5月30日 カテゴリー:マイクロスコープ, 虫歯治療


